Welcome
By selecting the Yes, leave Opcaseportalmy.com option you understand that you are leaving the website and that you will be redirected to another Internet site belonging to third parties, for whose content or opinions Amgen Malaysia is not responsible and makes no representations regarding such content or its accuracy. By selecting this option and accessing linked third-party sites, you understand that you do so at your own risk.
The website to which you will be redirected may be designed exclusively for residents of a particular country or countries, as advertised on that website. As a consequence, the website to which you will be directed may contain information on pharmaceutical products or indications that are not approved in Malaysia. If you reside in a country other than the one to which such website is directed, please contact your local Amgen affiliate for the correct information on products in your country of residence.
Case contributed by Dr. Pan Chee Huan, Consultant Orthopaedic Surgeon, Kedah Medical Centre, Malaysia
Patient Information
Age: 76 years
Sex: Female
Underlying diseases: Organic brain disease
Other relevant patient demographics:
- Housewife
- BMI: 31.5
-
History
Presenting complaint
Left hip pain and swelling
- Alleged slipped and fell at home when trying to collect clothes during rainy day
- Duration: 1 day
- FRAX score for Major Osteoporotic Fracture: 40%
- FRAX score for Hip Fracture: 25%
Past medical history
- Depressive disorders
- Osteoarthritis of bilateral knee joints
Medication history
- Fluvoxamine
- Gingko biloba dry extract
- Amisulpride
-
Physical Examination
- Shortening of left lower limb
- Left hip tenderness and swelling
- Left hip in external rotated position
-
Investigation
Hologic Horizon W
- LSC AP Spine 0.022 g/cm2
- LSC Neck of Femur 0.028 g/cm2
- LSC Total Hip 0.027 g/cm2
Changes in BMD after completing 1 year of Romosozumab
- Lumbar Spine = +0.149 g/cm2 (25.82%)
- Neck of Femur = +0.058 g/cm2 (16.72%)
- Total Hip = +0.078 g/cm2 (16.39%)
-
Treatment
Non-pharmacological
- Calcium 600 mg
- Vitamin D 25,000 IU
Pharmacological
- Subcutaneous Romosozumab 210 mg monthly
Surgical
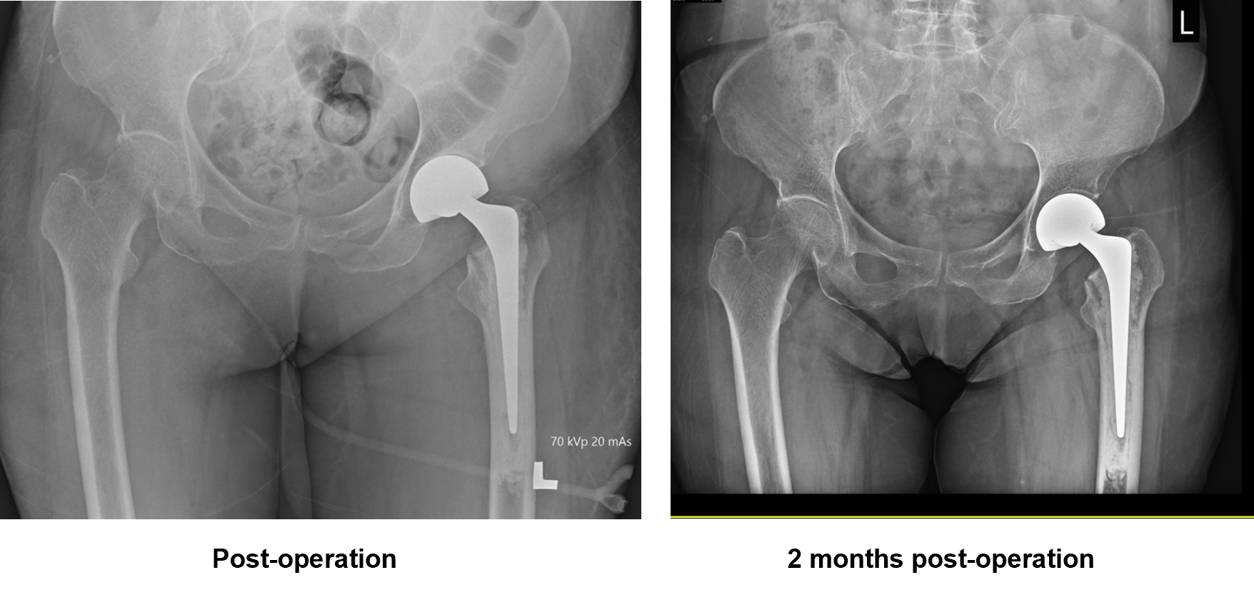
- Left bipolar hemiarthroplasty
-
Follow-up
Disease progression
The patient was able to ambulate without support 1-month post-surgery.
Trend of investigation parameters
There was an increase in the BMD after she underwent 1 year of treatment with Romosozumab.
- Lumbar Spine: +0.149 g/cm2 (25.82%, LSC 0.022)
- Neck of Femur: +0.058 g/cm2 (16.72%, LSC 0.028)
- Total Hip: +0.078 g/cm2 (16.39%, LSC 0.027)
All the increases in these three parameters were higher than the respective LSC.
Additional information
- The 1st DXA Scan of hip and spine was performed after the left hip surgery.
- After completion of 1-year Romosozumab treatment, the patient was continued on subcutaneous Denosumab 60 mg 6-monthly treatment.
- Currently she has completed 2 doses of Denosumab.
-
Clinical considerations
Selection of Romosozumab as Anabolic Agent
- Patient is in the Very High Fracture Risk group, requiring rapid gain in BMD
- Prior osteoporotic fracture at left hip
- T-score ≤ -3.5 (lumbar spine, neck of femur and total hip)
- FRAX score major osteoporotic fracture of 40% and hip fracture of 25%
- Romosozumab is not contraindicated1,2
- No history of myocardial infarction, stroke or pre-existing hypocalcemia
- Monthly dosing of Romosozumab and the need to administer in a specialist clinic improves compliance3
Selection of Denosumab as follow-up antiresorptive after 1 year of Romosozumab
- Studies support the switch to Denosumab after anabolic therapy as it can achieve greater BMD increases at the spine and hip compared to switching to bisphosphonates4,5
- Patient is in the Very High Fracture Risk group, requiring rapid gain in BMD
-
Summary
- Patient presented with left hip pain and swelling, and physical examination revealed that there was shortening of left lower limb, and left hip was in an external rotated position.
- Bone metabolism studies revealed slightly low serum albumin levels while other parameters are within normal levels.
- DXA scan showed that the changes in BMD after completing 1 year of romosuzumab was:
- Lumbar Spine = +0.149 g/cm2 (25.82%)
- Neck of Femur = +0.058 g/cm2 (16.72%)
- Total Hip = +0.078 g/cm2 (16.39%)
- Patient was treated with vitamin D, calcium, subcutaneous Romosozumab 210 mg monthly and underwent left bipolar hemiarthroplasty
- After completion of 1-year Romosozumab treatment, the patient was continued on subcutaneous Denosumab 60 mg 6-monthly treatment.
-
Abbreviations
AP, anteroposterior; BMD, bone mineral density; BMI, body mass index; DXA, dual-energy X-ray absorptiometry; FRAX, fracture risk assessment tool; LSC, least significant change
References
1. Saag KG, et al. N Engl J Med. 2017;377(15):1417-1427. doi:10.1056/NEJMoa1708322
2. Malaysia local pack insert for Romosozumab. Full prescribing information.
3. Kosaka Y, et al. Tohoku J Exp Med. 2021;255(2):147-155. doi:10.1620/tjem.255.147
4. Kendler DL, et al. Adv Ther. 2022;39(1):58-74. doi:10.1007/s12325-021-01936-y
5. Leder BZ. JBMR Plus. 2018;2(2):62-68. Published 2018 Feb 27. doi:10.1002/jbm4.10041
-
Important Safety Information:Osteoporosis Case BinderThis curated collection of patient case studies aims to provide healthcare practitioners in the area of bone health, with a comprehensive understanding of risk-based treatment approach in the long-term management of patients living with osteoporosis.The patient cases were contributed by bone health experts from respective clinical setting, incorporating evidence-based discussions, guidelines and clinical considerations in the individualised treatment sequencing plans of different real-world scenarios..Please review full product information before prescribingFor Healthcare Professionals Only.Please refer to full prescribing information prior to administrationFor information on Amgen products or to report an adverse event involving an Amgen product, please contact Medical Information at 1800 818 227 or medinfo.JAPAC@amgen.comSC-MAL-CP-00139-Sep2025Endorsed By: