Welcome
By selecting the Yes, leave Opcaseportalmy.com option you understand that you are leaving the website and that you will be redirected to another Internet site belonging to third parties, for whose content or opinions Amgen Malaysia is not responsible and makes no representations regarding such content or its accuracy. By selecting this option and accessing linked third-party sites, you understand that you do so at your own risk.
The website to which you will be redirected may be designed exclusively for residents of a particular country or countries, as advertised on that website. As a consequence, the website to which you will be directed may contain information on pharmaceutical products or indications that are not approved in Malaysia. If you reside in a country other than the one to which such website is directed, please contact your local Amgen affiliate for the correct information on products in your country of residence.
Case contributed by Dr. Chan Chee Ken, Consultant Orthopaedic and Trauma Surgeon, Mahkota Medical Centre, Malaysia
Patient Information
Age: 71 years (Menopause at age 50 years old)
Sex: Female
Underlying diseases:
- Hyperlipidaemia on atorvastatin 10mg ON
- Cervical and lumbar spondylosis with disc prolapse
-
History
Presenting complaint
Patient presented to clinic with right hip pain and limping gait.
- Presence of limb length discrepancy of 2.5cm
- Her right leg is shorter
- Had to ambulate with walking aid
- Duration: 3 years
Past medical history
She had cervical and lumbar discectomy in March 2023.
- No history of trauma or fall
- Did not consume any chinese medicine or exogenous steroid previously
- No family history of inflammatory joint diseases
-
Physical Examination
She had limited range of movement of right hip with limb length discrepancy. Image showed presence of 2.5cm shortening of the right lower limb as compared to left lower limb.
No sign of infection including skin and urinary tract infections were detected.
-
Investigation
Hip X-ray
- Right hip osteoarthritic changes
- Femoral head osteonecrosis
- Limb length discrepancy
- Interpretation: Advanced hip osteoarthritis

Bone Mineral Densitometry (BMD) T-scores
- Lumbar Spine: -4.0
- Hip: -3.2
- Interpretation: Severe osteoporosis
-
Treatment
Non-pharmacological
- Hip care
- Quadriceps exercise
Pharmacological
- Calcium carbonate 600mg OD
- Vitamin D 500mg OD
- D Cure 25000 IU for 8 weeks
Surgical
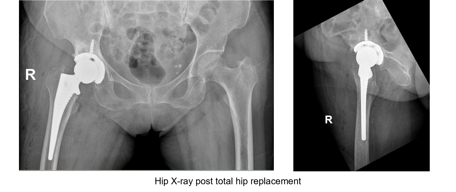
- Right total hip replacement
Referral
She was advised for right total hip replacement.
- As part of the pre-operative skeletal assessment, DXA scan of the lumbar spine and hip were done.
- DXA scan results showed severe osteoporosis.
- Blood test was performed as well.
- Her Vitamin D level is 24.4 ng/mL.
- After discussed with her regarding the potential risks of undergoing total hip replacement, patient opted for optimization of the osteoporosis before surgery.
She was referred to an endocrinologist for starting subcutaneous Romosozumab 210 mg monthly.
-
Follow-Up
Disease progression
After 3 months of subcutaneous Romosozumab and correction of the vitamin D levels with cholecalciferol treatment, patient opted for total hip replacement.
Intraoperatively, the bone was noted to be fragile. Extra care was carried out to avoid intraoperative iatrogenic fracture. The surgery was performed uneventfully.
Trend of investigation parameters
Patient was continued on subcutaneous Romosozumab for full course of one year.
After completing romosozumab for 1 year, DXA scan was repeated.
She was continued on subcutaneous Denosumab 60 mg every 6 months.
-
Summary
- Patient presented with right hip osteoarthritis with limited range of movement of right hip and limb length discrepancy, as well as severe osteoporosis.
- Patient was advised for right total hip replacement.
- After a discussion on the potential risks of surgery, patient opted for optimization of the osteoporosis before surgery due to her presentation of severe osteoporosis and low vitamin D levels.
- Patient started on subcutaneous Romosozumab 210 mg monthly.
- After 3 months of subcutaneous Romosozumab and correction of the vitamin D levels by D Cure treatment, patient opted for total hip replacement.
- After surgery, patient was continued on subcutaneous Romosozumab for full course of one year with the below BMD changes:
- Lumbar spine BMD changes: [(0.759-0.607)/0.607] X100% = 25%
- Total Hip BMD changes: [(0.627-0.591)/0.591] X100% = 6.1%
- Patient was subsequently continued on subcutaneous Denosumab 60 mg every 6 months.
-
Reference
1. Bouxsein ML, Eastell R, Lui LY, et al.; FNIH Bone Quality Project. Change in Bone Density and Reduction in Fracture Risk: A Meta-Regression of Published Trials. J Bone Miner Res. 2019 Apr;34(4):632-642.
Abbreviations
AP, anteroposterior; BMD, bone mineral density; DXA, dual-energy X-ray absorptiometry; OD, once daily; ON, once nightly
-
Important Safety Information:Osteoporosis Case BinderThis curated collection of patient case studies aims to provide healthcare practitioners in the area of bone health, with a comprehensive understanding of risk-based treatment approach in the long-term management of patients living with osteoporosis.The patient cases were contributed by bone health experts from respective clinical setting, incorporating evidence-based discussions, guidelines and clinical considerations in the individualised treatment sequencing plans of different real-world scenarios..Please review full product information before prescribingFor Healthcare Professionals Only.Please refer to full prescribing information prior to administrationFor information on Amgen products or to report an adverse event involving an Amgen product, please contact Medical Information at 1800 818 227 or medinfo.JAPAC@amgen.comSC-MAL-CP-00137-Aug2025Endorsed By: